發稿日期:114年1月2日
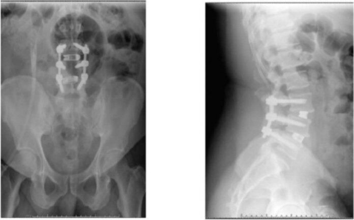
臺北市立聯合醫院中興院區骨科主治醫師劉彥麟曾經遇過一位眉頭深鎖的病患,一跛一跛的走進診間,苦惱的說:「醫生,我沒辦法好好走路已經有一段時間了,雙腳站一下就很痠痛麻木不舒服,諮詢過很多醫院都建議開刀,不知道你的意見如何?」從當時病患的X光影像可以看出來,第三腰椎至第五腰椎滑脫,且外院的核磁共振影像也顯示有嚴重的椎管狹窄,病人表示已接受過藥物保守治療以及復健,但效果不明顯。在與病人多次溝通並詳細解釋開刀風險及日後恢復情況後,病患決定開刀治療,手術解決了病患雙腳麻木痠痛的問題,也改善行走情況,回家上下樓梯已經不再是很痛苦的事情,甚至站立超過三十分鐘以上都沒有問題,生活上得到很大改善,最重要是終於看到他的笑容。
劉彥麟說,很多人對脊椎手術很畏懼,但也很想了解,脊椎手術本身帶來可能的後遺症及風險的確存在,不過要是臨床症狀明顯且影響日常生活,大多病人都能藉由手術獲得改善及緩解。如果症狀不嚴重或是持續時間不長,可以先用藥物或是復健等保守治療改善,幾個月後若並沒有改善甚至有更嚴重的神經學症狀,手術就是可以考慮的選項。
現今治療方式非常多變化,劉彥麟提醒病患與醫師詳細討論及溝通是非常重要的,醫病雙方對於風險及治療方式有相當了解,對於日後變化有一定共識,這樣也可避免病人過於緊張情緒以及日後的擔心。
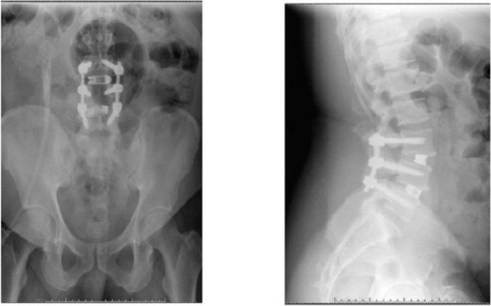
劉彥麟進一步說明,該名病患因為脊椎不穩定而且神經壓迫嚴重,因此選擇椎弓鋼釘置入、完整減壓及脊椎內支架來達到穩定脊椎及神經放鬆的效果,術後第三天即可下床走路,一個禮拜後回家休養,叮嚀照顧好傷口及穿戴護腰保護開刀處,適當的休息,幾個月後成功擺脫神經壓迫造成的麻木痠痛,獲得一個新的人生。
第三至第五腰椎滑脫 (圖片來源為國際外科雜誌) |
術後照—椎弓鋼釘置入、減壓及支架置入 (圖片來源為國際外科雜誌) |
※圖片來源:Jonathan McKeeman, Emily Zielinski, Flynn A. Rowan, L3-L4/L4-L5 Type II-A spondylolisthesis: A case report, International Journal of Surgery Case Reports, Volume 124, 2024,

